支气管扩张吧 支气管扩张有救吗
什么是支气管扩张
支气管扩张症指支气管及其周围肺组织的慢性炎症损坏管壁,以至支气管扩张和变形,多见于儿童和青年,自广泛运用抗生素以来,本病已明显减少。
主要的发病原因为支气管-肺脏的感染和支气管阻塞,导致支气管扩张,损害支气管壁各层组织,削弱它的弹性,最终导致支气管扩张。
支气管扩张的临床表现,常有反复发作的呼吸道感染,典型症状为慢性咳嗽、咳大量浓痰和反复咯血。痰量随体位改变时,如起床或就寝后最多;当支气管扩张进一步发展引起周围肺组织化脓性炎症和纤维化,并发肺气肿,患者有气急及紫绀;化脓性支气管炎可引起胸膜炎、脓胸或心包积液等。感染可经血液循环到达远处器官,脑脓肿常见。
支气管扩张的诊断,X线检查有重要意义,支气管造影术可确诊,能明确支气管扩张的部位、性质和范围,为手术切除提供重要的资料。对造影剂过敏者可做胸部CT检查,超薄CT扫描是诊断支气管扩张的一项敏感检查方法。
积极防治呼吸道感染(尤其在幼年期),对支气管扩张的发生有重要意义,支气管扩张的治疗原则是痰液引流,控制感染以及必要时手术切除。
支气管扩张伴有大量浓痰,引流不畅者,可经纤维支气管镜吸引并注入抗生素,使引流通畅。急性感染发作期,可用青霉素、链霉素或庆大霉素,具体使用什么抗生素,可参考痰菌药敏选用。
一般不超过两叶肺叶的局限性支气管扩张,有反复大量咯血或感染,是手术切除的适应症,病变广泛或伴有严重肺气肿、呼吸功能障碍者,则是手术禁忌。
如果觉得本文对您有帮助,记得点赞哦。
推广医学科普,剖析医患关系,讲述医患故事,请大家点击右上角,关注我的头条号:麻醉超人钢铁侠。
支气管扩张是一种炎症,感染性的慢性疾病。它是由于气道内的反复感染刺激了肺部和气管,使支气管发生了器质性的改变,造成了感染和气管扩张互相加重,反复发病的恶性循环。
也就是说感染的破坏作用造成了气管、支气管的变形、扩张等结构性的改变。而扩张的支气管又会导致痰液聚集和感染的加重。由于痰液聚集,长期咳嗽、咳痰形成慢性的过程,就会再进一步加重气管、支气管的结构性的改变。
因此,常常支气管扩张的病人病情反复发作,疾病迁延不愈。病人经常表现为慢性的咳嗽、咳痰。
当病灶损害了气管、支气管黏膜的毛细血管,就会引起支气管动脉的增生增粗。这个时候,就会出现反复的痰中带血,甚至咯血。个别病人会还会出现大咯血,需要抢救。
随着病情的加重,支气管扩张中的痰液和细菌在双肺扩散。这导致病灶不断扩大,有些病人甚至会出现呼吸衰竭。
导读:支气管扩张是由于支气管及其周围肺组织慢性化脓性炎症和纤维化,使支气管壁的肌肉和弹性组织破坏,导致支气管变形及持久扩张。那么引起支气管扩张的病因有哪些?
1.先天性和遗传性疾病引发支气管扩张最为常见的是遗传性疾病囊性纤维化,其次就是可能由于结缔组织发育较弱或马方综合征也可引起支气管扩张。
2.感染,感染同样是引发支气管扩张最为常见的病因。
3.纤毛异常,纤毛异常是指纤毛结构和功能异常而导致支气管扩张的重要因素。
4.免疫缺陷是由一种或多种免疫球蛋白的缺陷而引起支气管扩张,还有就是由一个或多个IgG亚类缺乏通常伴有反复呼吸道感染也可造成支气管扩张。
5.异物吸入,由于异物在气道内长期存在可导致慢性阻塞和炎症,从而继发支气管扩张。
什么是支气管扩张?
支气管扩张是由于支气管及其周围肺组织慢性化脓性炎症和纤维化,使支气管壁的肌肉和弹性组织破坏,导致支气管变形及持久扩张。
典型的症状有慢性咳嗽、咳大量脓痰和反复咯血。
主要致病因素为支气管感染、阻塞和牵拉,部分有先天遗传因素。患者多有麻疹、百日咳或支气管肺炎等病史。
以上是医学书籍中的专业描述,普通读者看起来有点费脑筋。
简单说来,支气管扩张就是支气管失去正常形态,扩张变形,导致痰液积聚,反复感染。严重者可表现为咳脓痰和咯血。
支气管扩张的治疗主要取决于症状。
一,没有症状或者症状轻微的可以不必理会;
二,有严重咳脓痰症状的,建议先行抗炎治疗和体位引流。病程很长,反复发作,药物治疗效果不好的,需要结合CT表现评估是否可以手术。
1 双侧广泛支气管扩张,就算症状很重,也不合适手术;
2 病灶局限在一个肺叶内,至多在一侧肺内,症状严重者可以考虑手术,效果不错;
三,有些患者没有咳痰症状,表现为“干性支气管扩张”,但一旦出现大咯血症状,病情会非常凶险,甚至威胁生命。
认识支气管扩张首先要认识支气管,支气管是空气的输送管道,从咽喉部的声门开始经过中间的主气管分叉为主支气管,再逐级分叉到各级叶、段支气管细支气管终末细支气管,大约13-14级,支气管有完善的平滑肌肌肉组织以及软骨等支撑组织,能够很好的收缩和舒张以避免有毒有害气体以及微生物的吸入。
支气管管壁有完善的免疫防护系统
支气管管壁并不是光秃秃的管道,上面附着生长了密密麻麻的各种细胞,属于一种上皮细胞生态系统,叫做假复层纤毛柱状上皮,这个上皮有多层含义,首先是假复层,顾名思义是假的多层细胞,究其原因是支气管管壁细胞高矮不同,但大家都有共同的地板,真复层譬如皮肤表皮就是一层地板一层细胞。纤毛是指上皮细胞顶部长出来的头发,全身有头发的细胞不多,肺里有,另外还有输卵管内部表皮细胞有,这些纤毛的共同作用就是向同一个方向摆动,把内容物向同一个方向运输,支气管是将痰液运到喉咙部,而输卵管则是将卵子运到容易受精的部位,有一种叫做纤毛不动综合征的疾病,患者不能有效的排痰导致支气管扩张,也不能有效的运输卵子导致不孕,所以纤毛系统对于人体非常重要。柱状上皮是指管壁上的主要细胞柱状细胞,柱状细胞是气管上皮的主要细胞,它们之间紧密连接,防治细菌侵入,同时保护底层的其他细胞,这些细胞可以分泌粘液,浆液和一些表面抗体,共同维护支气管上皮湿润温暖以及健康的环境。
支气管扩张是怎么发生的
支气管扩张是支气管及其周围组织反复或者严重的炎症,导致部分节段的支气管和它周围组织破坏,支气管失去支撑并结构毁损后形成疤痕牵拉导致的管径增大,扩张的支气管并不有利于呼吸更多的空气,反而因为其中常常充满痰液而发生堵塞,这也是支气管扩张严重时会出现哮喘样症状的原因。
支气管扩张不仅仅是扩张,还有管壁生态系统的破坏
支气管扩张不仅仅是管腔扩大,管壁的完整的生态系统全部被破坏,纤毛脱落没办法运输痰液,柱状上皮受损导致底层细胞暴露,粘液浆液以及抗体分泌受损导致各种细菌很容易在气管支气管内生长,进而刺激更多的痰液生成并堵塞气管,而堵塞的后果反过来更加加重支气管扩张,扩张的支气管还会导致管壁的血管特别是动脉失去支撑被扭曲形成血管瘤,在剧烈咳嗽或者运动的时候发生破裂而导致大咯血,这些原因共同导致了支气管扩张的症状——长期反复的感染,咳嗽,咳大量的痰液,有些人还会合并咯血,最后患者出现气喘症状进而影响心脏导致慢性肺源性心脏病。
所以,支气管扩张治疗的关键是排除痰液,痰液中富含各种蛋白质,是一种非常完美的细菌培养基,而肺是通过气管与外界相通的,细菌很容易就被吸入并在痰液上生长,所以把痰液排除有利于支气管扩张感染的控制,进而减慢支气管扩张的进展。患者可以头低屁股抬起来像青蛙一样趴在床上,家人从背部像肩部用空心掌轻轻的拍打,利用重力和震荡作用将痰液赶到咽喉部咳出。
支气管扩张
部位:肺,支气管

病理:化脓性感染,慢性纤维化
病因:感染,组织修复,先天遗传,免疫缺陷,纤毛异常,异物吸入
症状:呼吸系统慢性感染,咳嗽,脓痰,咯血
结果:支气管变形,扩张
预后:肺炎,肺脓肿,广泛肺纤维化,肺动脉高压,肺心病
诊断:病史感染史,症状,肺部有固定湿啰音,X线或CT
治疗:去除炎症病因,抗感染,增强免疫力,手术
支气管扩张是因为支气管及肺组织的慢性化脓性炎症和纤维化,破坏了支气管的组织结构,导致支气管变形和扩张。
它的主要症状为慢性咳嗽,咳大量浓痰,反复咯血。病因主要有:1.感染,如肺结核,百日咳,腺病毒肺炎等均可引起支气管扩张。
2.异物吸入,异物长期在气道存在,可继发支气管扩张。3.先天和遗传性疾病,如囊性纤维化和马方综合征。4.免疫缺陷,如免疫球蛋白的缺陷可引起支气管扩张。
5.纤毛异常,纤毛异常主要表现为纤毛结构和功能的异常,它是支气管扩张的主要致病因素。支气管扩张治疗不及时或失治误治会引起诸多并发症,尤其是易并发化脓菌感染引起的肺炎,肺坏疽,肺脓肿,脓胸,脓气胸等,甚至导致肺心病。
支气管扩张症是一种常见的呼吸道慢性化脓性疾病,因支气管壁毁损而导致支气管持久扩张,变形。临床上有慢性咳嗽,咳大量脓痰及反复咯血等症状。病变部位,以下叶尤其是左下叶多见,且常与舌叶支气管扩张同存。
我是放射科杨大夫,回答下关于支气管扩张的问题。
人体的气道,从鼻部、鼻咽,气管、各级支气管,一直到小气道、肺泡等结构,构成了整个呼吸系统非常重要的组成部分,各级支气管的管腔在正常的时候是逐渐变细的。

而支气管扩张(简称支扩)是由于支气管及其周围肺组织炎症,纤维化等原因,使支气管壁的肌肉和弹性组织破坏,导致支气管变形及持久扩张。典型的症状有慢性咳嗽、咳大量脓痰和反复咯血。
主要病因包括:支气管感染、阻塞,其他病变,比如肺纤维化,陈旧病变导致的牵拉。
诊断方面,除了症状(单靠症状并不可靠,很多其他病变也能引起相同的浓痰和咯血)外,主要靠影像学。
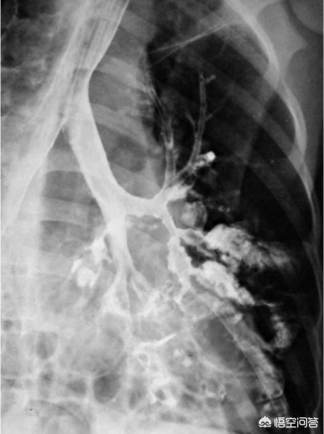
在CT没有广泛应用前,要诊断支扩,得做支气管造影。往支气管内打一种碘油,等到碘油涂抹到支气管管壁上后,拍X线片,这时支气管是显影的,可以根据其情况判断有无支扩,支扩的部位等,病人及其痛苦。

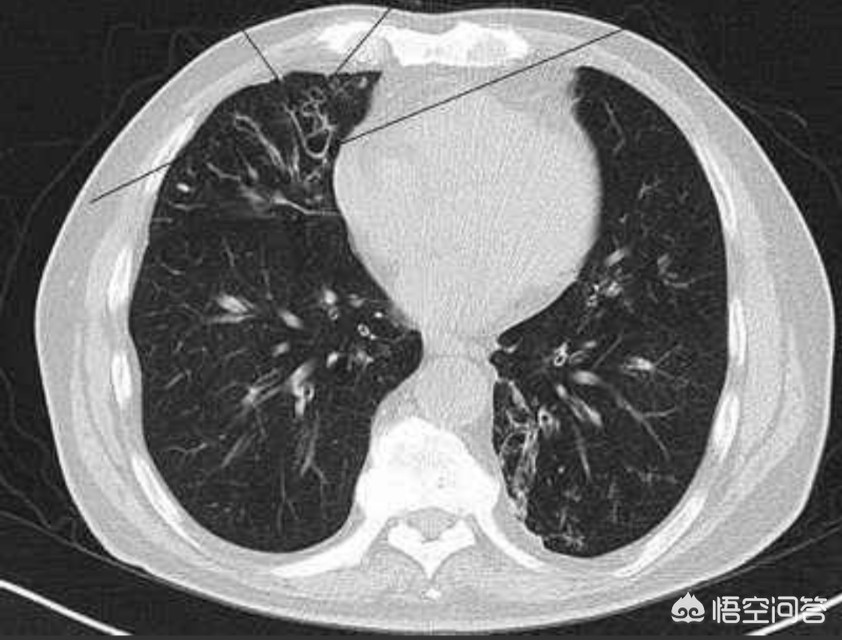
有了CT,尤其是能做高分辨CT(HRCT)后,诊断支扩变得相对容易很多,病人也没有痛苦了。
在HRCT上,支扩可分为柱状扩张,囊状扩张,混合型扩张等,标准通常为大于伴行动脉的直径,或者轻微的支扩,仅仅表现为失去逐渐变细的趋势,使得早期诊断轻微的支扩称为可能。
支气管扩张会恶化吗
如果出现这种情况是会恶化的。支气管扩张症是由于支气管,及其周围肺组织慢性化脓性炎症和纤维。使支气管壁的肌肉和弹性组织破坏,导致支气管变形及持久扩张。典型的症状有慢性咳嗽、咳大量脓痰和反复咯血,主要致病因素为支气管感染。